News
Climate Change Is Resetting The Clock For Missouri Wildflowers. Will It Affect Their Survival?
Meacham, Bose receive university’s first DEPSCoR grant since 1996
Biology undergrad Zi'Onay Walker receives ABmR sponsorship
Bio 500 Research Spotlight: Kristen Reikersdorfer on the Hengen Lab
Plant sex chromosomes defy evolutionary models
Beehives Are Held Together by Their Mutual Gut Microbes
Mountain high: Andean forests have high potential to store carbon under climate change
Scene Rooted in St. Louis: The Ethnobotanical Work of Professor Memory Elvin-Lewis
A love of microbiology leads Postdoc Sarah Anderson to the Levin Lab
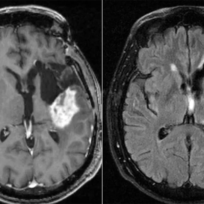
The body’s daily clock may influence cancer treatment success